Renal/GU - Staghorn Calculi

← Back to List

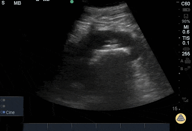
Renal/GU - Staghorn Calculi

Caption

51yoM with history of staghorn calculi presenting with hematuria and left lower quadrant pain x 3 days. Ultrasound of left kidney in sagittal plane using a phased array 5-1MHz probe demonstrating a large hyperechoic structure in the renal pelvis with associated posterior acoustic shadowing consistent with staghorn calculi. Ultrasound serves as a low-cost, readily available method without radiation which can aid in the detection of renal or ureteral calculi. (Nicolau 2015)

Source

https://www.thepocusatlas.com/renal


Metadata