Renal/GU - Pyocele

← Back to List

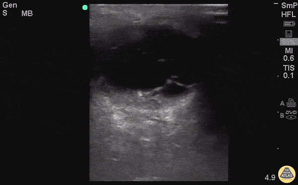
Renal/GU - Pyocele

Caption

83 y/o M with R testicular swelling, tenderness, concern for epididymitis vs orchitis. POCUS with septated fluid collection concerning for pyocele. Pycoeles are a urologic emergency that can lead to Fournier's and often require orchiectomy. Dr. Tess Sexton - Kings County/SUNY Downstate EM

Source

https://www.thepocusatlas.com/renal


Metadata