Renal/GU - Renal Cysts

← Back to List

Renal/GU - Renal Cysts

Caption

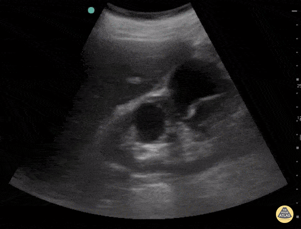
Renal cysts can be classified using the Bosniak Classification System based on CT imaging. A category I benign cyst is thin-walled without septations, calcifications, solidifications, nor contrast enhancement. A category II benign cyst is also thin-walled but may contain a few thin septa or calcifications. A category IIF cyst has a small risk of malignancy. It may have a slightly thicker wall, septa or calcifications, but no contrast enhancement. A category III cyst has a significant risk of malignancy and has irregular and thick septa which exhibit contrast enhancement. A category IV cyst (highest risk) has category 3 characteristics with the addition of contrast enhancing soft tissue components. This clip shows septation of one of the cysts suggesting that it is AT LEAST a category 2 cyst. Sukh Singh, MD

Source

https://www.thepocusatlas.com/renal


Metadata