Renal/GU - Large Prostate
Caption
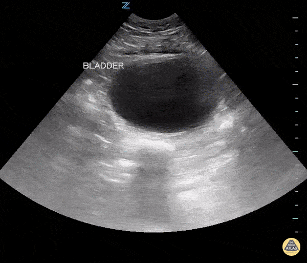
In this transverse, transabdominal ultrasound one can see a full bladder and posterior to that a uniformly enlarged prostate suggesting urinary retention secondary to BPH. Sukh Singh, MD
In this transverse, transabdominal ultrasound one can see a full bladder and posterior to that a uniformly enlarged prostate suggesting urinary retention secondary to BPH. Sukh Singh, MD