Bowel-GI - Paraesophageal Abscess

← Back to List

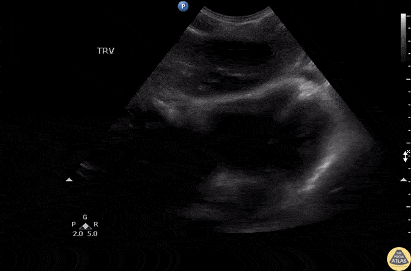
Bowel-GI - Paraesophageal Abscess

Caption

Patient presented with chest pain. A subxiphoid sweep revealed normal cardiac function with a neighboring anechoic structure confirmed as a paraesophageal abscess on CT. Image courtesy of Robert Jones DO, FACEP @RJonesSonoEM Director, Emergency Ultrasound; MetroHealth Medical Center; Professor, Case Western Reserve Medical School, Cleveland, OH View his original post here

Source

https://www.thepocusatlas.com/bowel


Metadata