Renal/GU - Hydroureter with Stone

← Back to List

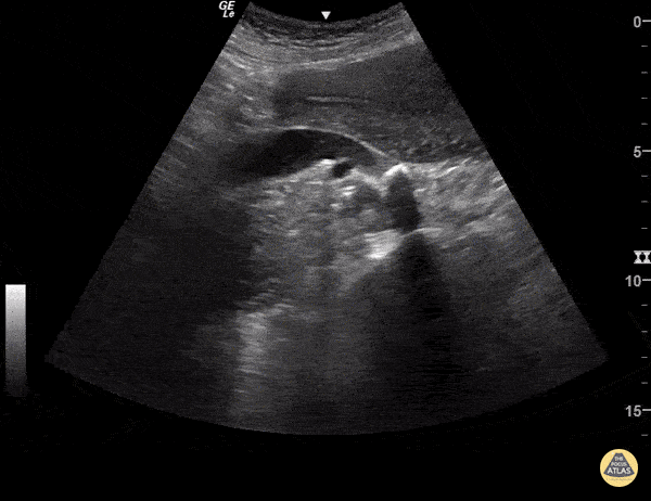
Renal/GU - Hydroureter with Stone

Caption

A dilated ureter is visualized posterior to the uterus in this transabdominal POCUS, indicating obstruction. The stone can be directly visualized as a hyperechoic structure in the ureter with shadowing. Sukh Singh, MD

Source

https://www.thepocusatlas.com/renal


Metadata