Renal/GU - Ureterovesical Junction Stone Twinkle Artifact

← Back to List

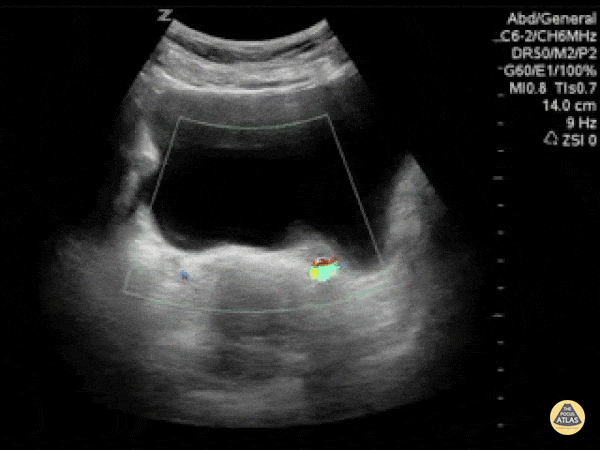
Renal/GU - Ureterovesical Junction Stone Twinkle Artifact

Caption

Twinkling artifacts can be seen on color doppler ultrasounds when applied to stationary, highly echogenic objects, generating a false sense of movement on color doppler. The reason this occurs is unclear. However, this is useful for kidney stones especially when they are in other echogenic environments such as the ureterovesicular junction. This scan demonstrates the twinkle artifact at the UVJ, thus a kidney stone that may have been missed otherwise. Dr. Justin Bowra et al. (Dr. Sutijono)

Source

https://www.thepocusatlas.com/renal


Metadata