Renal/GU - Ureteric Jet

← Back to List

Renal/GU - Ureteric Jet

Caption

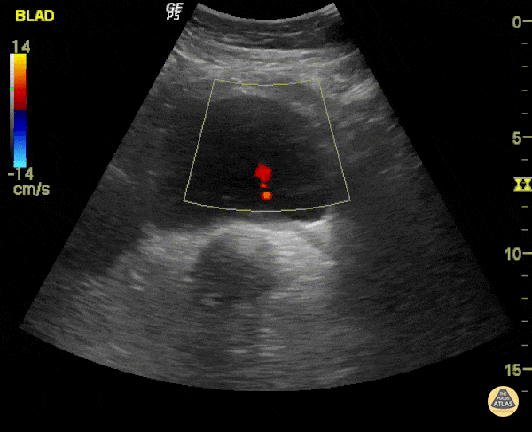
When an obstructing stone is suspected, measurement of the ureteric jets can be performed to see if the ureters are draining into the bladder. In this study, there is no left ureteric jet demonstrating obstruction of the right ureter, and likely an obstructing stone. Renal US is likely to demonstrate hydronephrosis of the right kidney. Dr. Justin Bowra et al.

Source

https://www.thepocusatlas.com/renal


Metadata