Renal/GU - Bladder Contracted with Indwelling Catheter
Caption
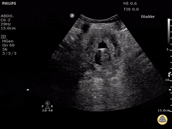
An echogenic foley catheter with the balloon inflated can be seen floating inside the anechoic urine within the bladder. Dr. Justin Bowra et al.
An echogenic foley catheter with the balloon inflated can be seen floating inside the anechoic urine within the bladder. Dr. Justin Bowra et al.