Renal/GU - Left Renal Cyst

← Back to List

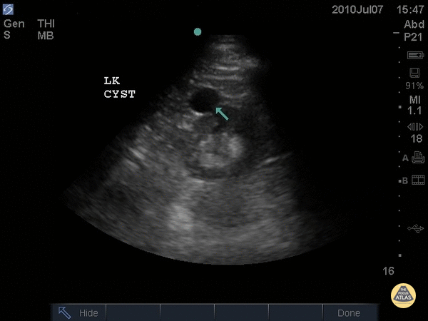
Renal/GU - Left Renal Cyst

Caption

This simple renal cyst can be identified as an anechoic structure with well-defined, thin walls. Sometimes septations can be seen. Large cysts might even demonstrate posterior acoustic shadowing. Dr. Justin Bowra et al.

Source

https://www.thepocusatlas.com/renal


Metadata