Renal/GU - Severe Hydronephrosis

← Back to List

Renal/GU - Severe Hydronephrosis

Caption

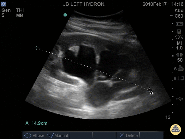
14.9cm long axis In this patient with severe hydronephrosis, there is gross dilation of both the renal pelvis and calyces, which are ballooned. The cortex of the kidney has atrophied and is very thin. Dr. Justin Bowra et al.

Source

https://www.thepocusatlas.com/renal


Metadata