Renal/GU - Severe Hydronephrosis

← Back to List

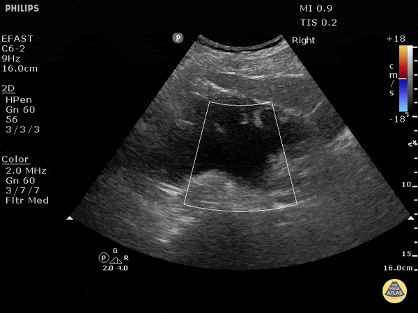
Renal/GU - Severe Hydronephrosis

Caption

In this patient with severe hydronephrosis, there is gross dilation of both the renal pelvis and calyces, which are ballooned. The cortex of the kidney has atrophied and is very thin. This is severe, or grade 4. Dr. Justin Bowra et al. (Dr. Browne and Dr. Knights)

Source

https://www.thepocusatlas.com/renal


Metadata