Bowel-GI - Liver Metastasis

← Back to List

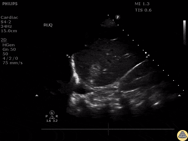
Bowel-GI - Liver Metastasis

Caption

Patient with history of colon cancer presented with right flank pain. RUQ scan revealed metastatic liver disease. Image courtesy of Robert Jones DO, FACEP @RJonesSonoEM Director, Emergency Ultrasound; MetroHealth Medical Center; Professor, Case Western Reserve Medical School, Cleveland, OH View his original post here

Source

https://www.thepocusatlas.com/bowel


Metadata