Renal/GU - Moderate Hydronephrosis

← Back to List

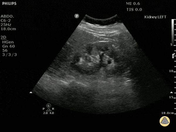
Renal/GU - Moderate Hydronephrosis

Caption

Moderate (grade three) hydronephrosis can be appreciated here with dilation of both the renal pelvis and calcyces. The renal cortex is also thinned. There is not gross atrophy. Dr. Justin Bowra et al. (Dr. Yogi)

Source

https://www.thepocusatlas.com/renal


Metadata