Renal/GU - Moderate Hydronephrosis

← Back to List

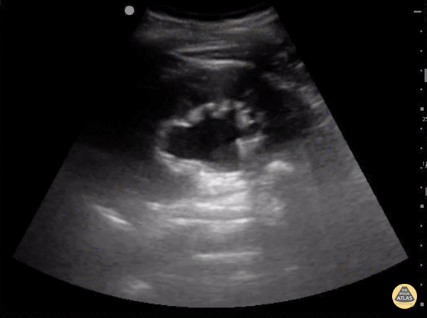
Renal/GU - Moderate Hydronephrosis

Caption

The degree of hydronephrosis is determined by a grading system. Grade 0 (none) means there's no dilation of the renal pelvis. Grade 1 (mild) means there's mild dilation of the renal pelvis without any dilation of the calyces. Grade 2 means there's moderate dilation of the renal pelvis that extends to a few calyces. Grade 3 (moderate) means the renal pelvis dilation extends to all the calyces. Grade 4 (severe) means there's extension of dilation to all the calyces with the addition of thinning of the renal parenchyma. In this clip, the renal pelvis calyces are dilated but there is no thinning of the renal parenchyma making this mild to moderate, grade 2. Sukh Singh, MD Caption by Matthew Riscinti, MD

Source

https://www.thepocusatlas.com/renal


Metadata