Renal/GU - The Twinkle Artifact

← Back to List

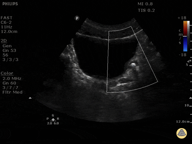
Renal/GU - The Twinkle Artifact

Caption

Ultrasonographic color doppler twinkling artifact is a phenomenon that may aid in the detection of nephrolithiasis. Twinkling artifacts can be seen on color doppler ultrasounds when applied to stationary, highly echogenic objects, generating a false sense of movement on color doppler. The reason this occurs is unclear. Seen here is a left ureterovesicular junction stone with a positive twinkle artifact. Maria Perez; Emergency Registrar; St Vincent’s Hospital; Melbourne - Australia

Source

https://www.thepocusatlas.com/renal


Metadata