Renal/GU - Ureterovesical Junction Nephrolithiasis

← Back to List

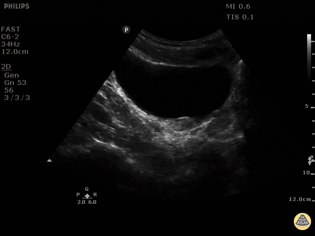
Renal/GU - Ureterovesical Junction Nephrolithiasis

Caption

This is a 58 year old man that presented with first episode of severe LLQ pain and vomiting. The differentials were diverticulitis vs nephro/urolithiasis. POCUS was performed obtaining images of left and right kidneys, bladder and aorta. The image shows a 7mm stone seen with shadowing at the L UVJ. Maria Perez; Emergency Registrar; St Vincent’s Hospital; Melbourne - Australia

Source

https://www.thepocusatlas.com/renal


Metadata