Renal/GU - Polycystic Kidney Disease

← Back to List

Renal/GU - Polycystic Kidney Disease

Caption

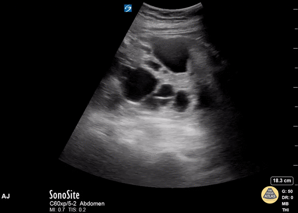
This middle-aged adult female presented to the emergency department with abdominal pain. The patient reported history of polycystic kidney disease. Bedside renal ultrasound revealed multiple renal cysts in both the cortex and medullary areas of the kidney, consistent with her history. Stones and hydronephrosis would be difficult to detect in the setting of polycystic kidney disease. Ahmad Jaber, MBBS PGY3 Resident Physician, Central Michigan University Emergency Medicine Residency

Source

https://www.thepocusatlas.com/renal


Metadata