Renal/GU - Difficult Foley: Bladder Diverticulum

← Back to List

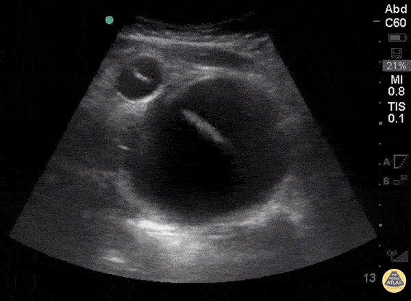
Renal/GU - Difficult Foley: Bladder Diverticulum

Caption

WCUME 2017 Submission for "Novel Indication" A urinary catheter is not draining appropriately and bedside ultrasound reveals inflated balloon caught within a bladder diverticulum. Under dynamic ultrasound guidance, the balloon is deflated, the catheter withdrawn into the bladder lumen, and then reinflated in the appropriate position. Sam Langberg, MD - Ochsner Medical Center, New Orleans, LA

Source

https://www.thepocusatlas.com/renal


Metadata