Renal/GU - Perinephric Hematoma

← Back to List

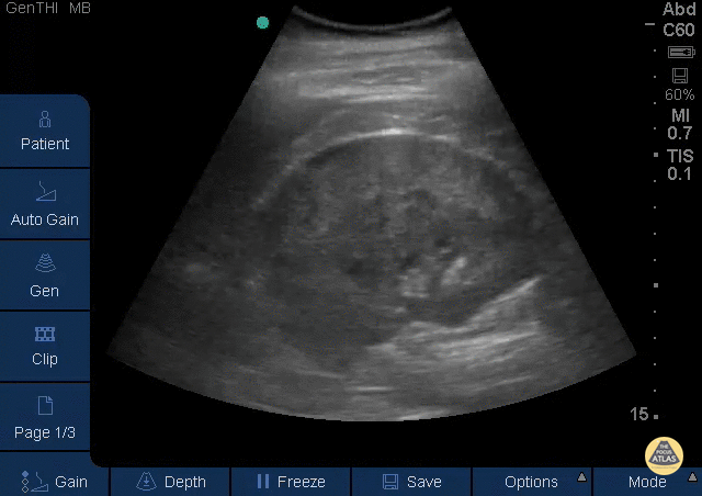
Renal/GU - Perinephric Hematoma

Caption

This is a longitudinal view of the right kidney in a patient who presented with sudden, severe right flank pain. There was no history of trauma. No gross hematuria. The patient’s pain was difficult to control with analgesics and bedside ultrasound revealed apparent spontaneous perinephric hematoma. Therese Mead, DO Emergency Physician

Source

https://www.thepocusatlas.com/renal


Metadata