Renal/GU - Bladder Diverticulum

← Back to List

Renal/GU - Bladder Diverticulum

Caption

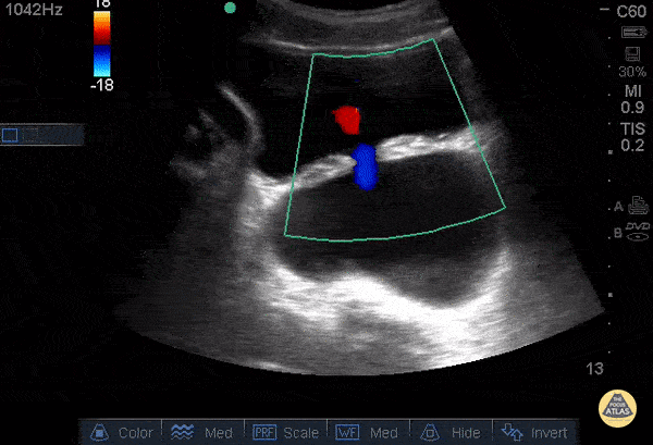
78 yo M h/o BPH s/p TURP 1yr ago presents c/o difficulty voiding x2 wks. US of bladder revealed 2 large fluid filled (anechoic) structures w/ a communicating tract and bidirectional flow on color Doppler. The superficial structure is the urinary bladder while the deep structure is a large bladder diverticulum. Pt didn't have any previously documented hx of a bladder diverticulum. A bladder diverticulum is a rare congenital or acquired defect consisting of a protrusion of the mucosa through the bladder musculature. The most common acquired cause is bladder outlet obstruction 2/2 to BPH. Pts w/ a new diagnosis in the ED should be referred for urology follow up. These pts are at high risk of UTIs and bladder calculi due to urinary stasis from incomplete emptying of the diverticulum. This can even occur in pts w/ a Foley, as the catheter may not drain the diverticulum. In fact, having a chronic indwelling catheter is a rare cause of bladder diverticula. Pts w/ hematuria, lower urinary tract symptoms, recurrent UTIs, or bladder calculi may require diverticulectomy. Drs. Justin Berkowitz, Adrian Aurrecoechea, and Catherine Bon

Source

https://www.thepocusatlas.com/renal


Metadata