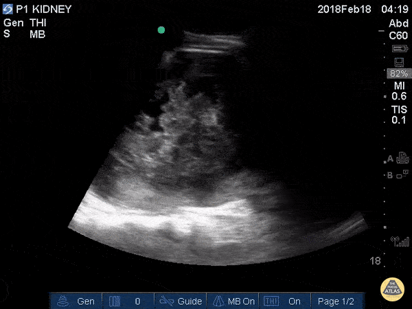
Renal/GU - Traumatic Kidney Hematoma

← Back to List

Renal/GU - Traumatic Kidney Hematoma

Caption

19M w/ hx “fell down stairs 1 week ago,” won’t provide additional details. Admitted to an outside hospital for renal laceration and subcapsular hematoma, here in ED today wondering if hematoma still present, asymptomatic; normal vitals. Greg Powell, MD

Source

https://www.thepocusatlas.com/renal


Metadata