Bowel-GI - To-And-Fro of SBO

← Back to List

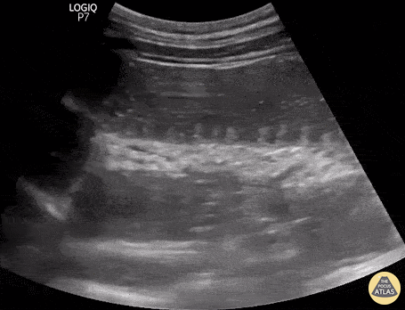
Bowel-GI - To-And-Fro of SBO

Caption

84 yo F presenting with abdominal pain, nausea, vomiting, constipation and abdominal distension for 3-4 days. Bedside ED-performed POCUS show this findings: No compressible and distended small bowel loops (> 2,5 cm), "To-and-Fro" motion of intraluminal content, “valvulae conniventes” on the interior aspect of the bowel wall, which appears like black and white keys of a piano (Keyboard Sign). These ultrasound signs rule-in the diagnosis of Small Bowel Obstruction. Renato Tambelli @JediPocus @R_Tambelli

Source

https://www.thepocusatlas.com/bowel


Metadata