Renal/GU - Simple Renal Cyst

← Back to List

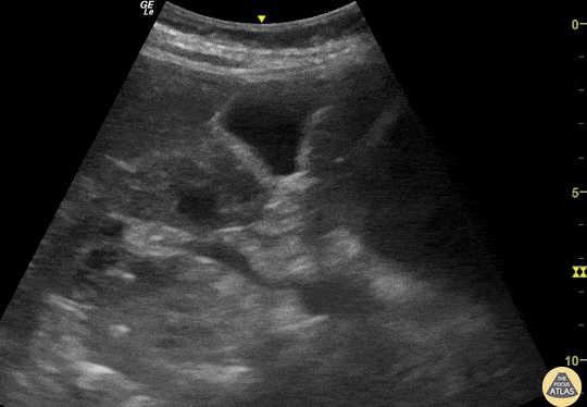
Renal/GU - Simple Renal Cyst

Caption

A 84-year-old female presented to the ED in decompensated heart failure. During the POCUS of her RUQ we incidentally identified this simple renal cyst; also note a single calculi within her gallbladder. Josiane Almeida, Emergency Physician Department of Marilia Clinic Hospital, Sao Paulo- Brazil

Source

https://www.thepocusatlas.com/renal


Metadata