Renal/GU - Distal Ureteral Stone

← Back to List

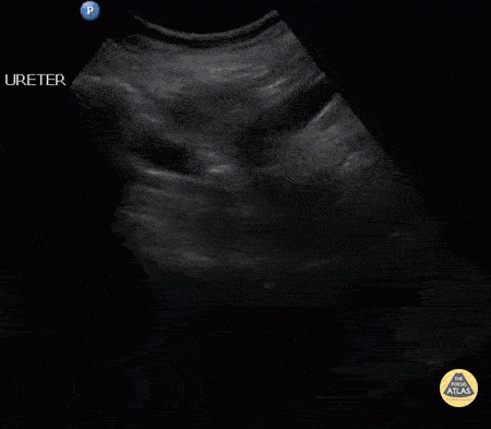
Renal/GU - Distal Ureteral Stone

Caption

A female patient presented with right flank pain. A longitudinal view of the lower ureter reveals a distal ureteral stone. Further ultrasound of the right kidney depicted medullary nephrocalcinosis. Image courtesy of Robert Jones DO, FACEP @RJonesSonoEM Director, Emergency Ultrasound; MetroHealth Medical Center; Professor, Case Western Reserve Medical School, Cleveland, OH View his original post here

Source

https://www.thepocusatlas.com/renal


Metadata