Renal/GU - Incidental Polycystic Kidney Disease

← Back to List

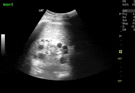
Renal/GU - Incidental Polycystic Kidney Disease

Caption

A 12 year old male presented after a MVC. A FAST exam was performed demonstrating incidental finding of Polycystic Kidney Disease (PCKD). Paul Khalil, MD @Khalil3Paul Assistant PEM POCUS director at University of Louisville/Norton Children’s

Source

https://www.thepocusatlas.com/renal


Metadata