Renal/GU - Right Distal Ureterovesicular Junction Stone

← Back to List

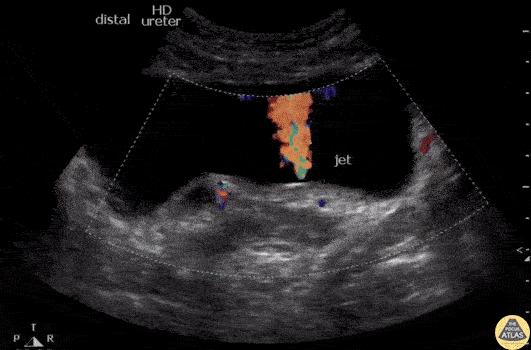
Renal/GU - Right Distal Ureterovesicular Junction Stone

Caption

Transabdominal ultrasound showing right-sided twinkle artifact with strong left-sided urine jet indicative of right-sided UVJ stone obstruction. Image courtesy of Robert Jones DO, FACEP @RJonesSonoEM Director, Emergency Ultrasound; MetroHealth Medical Center; Professor, Case Western Reserve Medical School, Cleveland, OH View his original post here

Source

https://www.thepocusatlas.com/renal


Metadata