Renal/GU - Xanthogranulomatous Pyelonephritis

← Back to List

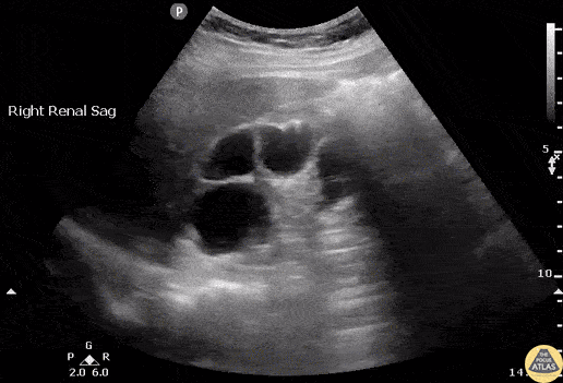
Renal/GU - Xanthogranulomatous Pyelonephritis

Caption

A female presented to the ED with right flank pain, fever, leukocytosis, soft vitals, and dirty urine. Urine culture grew Proteus mirabilis. Bedside ultrasound revealed a bear claw sign with perinephric abscess indicative of xanthogranulomatous pyelonephritis. Image courtesy of Robert Jones DO, FACEP @RJonesSonoEM Director, Emergency Ultrasound; MetroHealth Medical Center; Professor, Case Western Reserve Medical School, Cleveland, OH View his original post here

Source

https://www.thepocusatlas.com/renal


Metadata