Bowel-GI - Normal Bowel Peristalsis

← Back to List

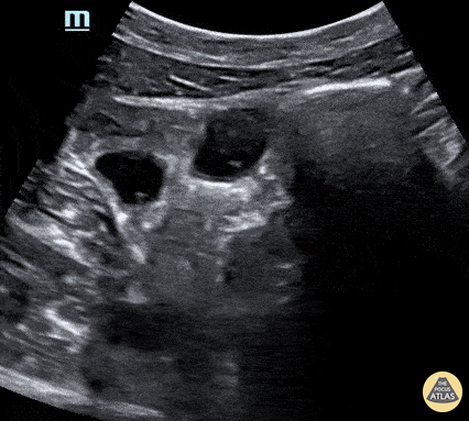
Bowel-GI - Normal Bowel Peristalsis

Caption

51 year old male presented with a chief complaint of abdominal pain for 3 days with nausea and vomiting. The curvilinear probe was used to evaluate the aorta with an incidental finding (shown) of clear peristalsis of the bowel contents with hypoechoic and anechoic contents. In this segment it is clear there is no obstruction. Lindsay Davis, DO, MPH, @Lindsadavis18 Lydia Mansour, DO Emily Nagourney, MS4 Central Michigan University

Source

https://www.thepocusatlas.com/bowel


Metadata