Renal/GU - Bladder Mass

← Back to List

Renal/GU - Bladder Mass

Caption

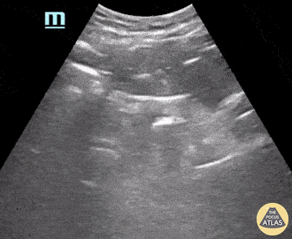
An elderly male with a history of atrial fibrillation, hypertension, and COPD presented for evaluation of lower abdominal pain. He denied associated fever, chills, nausea, vomiting, dysuria, increased urinary frequency, hematuria, or incontinence. Also denied history of smoking or exposure to aniline dyes. POCUS was notable for the presence of a hyperechoic mass along the posterior wall of his urinary bladder. This prompted additional image acquisition; CT confirmed the presence of a 2.8 x 1.6 x 3.6 cm bladder mass warranting additional work-up. This serves as an example of how POCUS can help localize intra-abdominal areas of interest, particularly in the setting of a vague HPI. Thomas G. Weiss, MS4; Matthew French, PGY3 Central Michigan University College of Medicine

Source

https://www.thepocusatlas.com/renal


Metadata