Renal/GU - Urothelial Thickening

← Back to List

Renal/GU - Urothelial Thickening

Caption

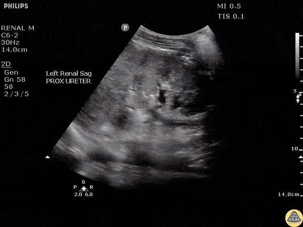
A young female presented to the ED with flank pain and a fever. Ultrasound revealed the urothelial lining of the renal pelvis was >2mm suggestive of a recent underlying obstructive process. Image courtesy of Robert Jones DO, FACEP @RJonesSonoEM Director, Emergency Ultrasound; MetroHealth Medical Center; Professor, Case Western Reserve Medical School, Cleveland, OH View his original post here

Source

https://www.thepocusatlas.com/renal


Metadata