Renal/GU - Misplaced Foley

← Back to List

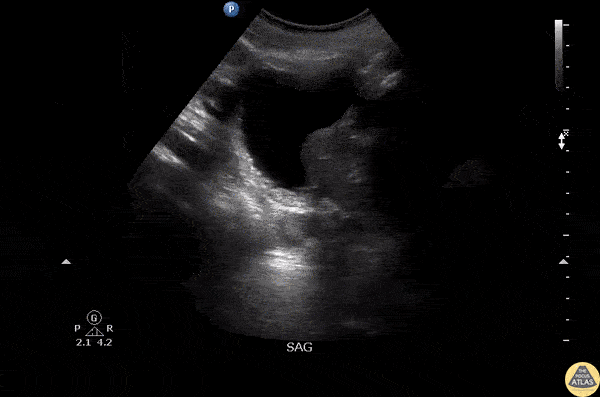
Renal/GU - Misplaced Foley

Caption

An elderly male presented with complaints of suprapubic pain. He recently had his foley catheter changed, which is draining but with significant pain. Sagittal view of the pelvis revealed the foley balloon inflated within the prostatic urethra. Image courtesy of Robert Jones DO, FACEP @RJonesSonoEM Director, Emergency Ultrasound; MetroHealth Medical Center; Professor, Case Western Reserve Medical School, Cleveland, OH View his original post here

Source

https://www.thepocusatlas.com/renal


Metadata