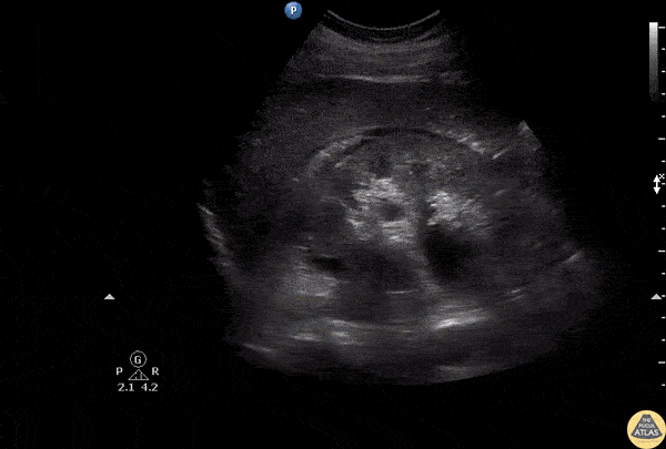
Renal/GU - Urinoma

← Back to List

Renal/GU - Urinoma

Caption

A patient presented with right flank pain. Ultrasound of the kidney revealed hydronephrosis with surrounding urinoma due to a suspected minor calyx rupture. Image courtesy of Robert Jones DO, FACEP @RJonesSonoEM Director, Emergency Ultrasound; MetroHealth Medical Center; Professor, Case Western Reserve Medical School, Cleveland, OH View his original post here

Source

https://www.thepocusatlas.com/renal


Metadata