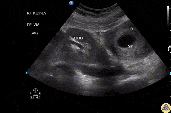
Renal/GU - Pelvic Kidney

← Back to List

Renal/GU - Pelvic Kidney

Caption

A G1P0 female presented to the ED with vaginal bleeding, abdominal pain, and stable vital signs. Examination reveals a mass palpable supero-lateral to the uterus on the right. Ultrasound revealed a pelvic kidney. Image courtesy of Robert Jones DO, FACEP @RJonesSonoEM Director, Emergency Ultrasound; MetroHealth Medical Center; Professor, Case Western Reserve Medical School, Cleveland, OH View his original post here

Source

https://www.thepocusatlas.com/renal


Metadata