Renal/GU - Horseshoe Kidney

← Back to List

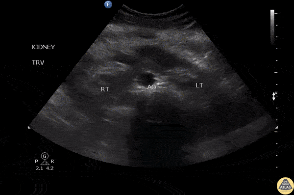
Renal/GU - Horseshoe Kidney

Caption

POCUS was used for evaluation of right flank pain with suspected hydronephrosis. A transabdominal view revealed obstructive uropathy due to a horseshoe kidney. Image courtesy of Robert Jones DO, FACEP @RJonesSonoEM Director, Emergency Ultrasound; MetroHealth Medical Center; Professor, Case Western Reserve Medical School, Cleveland, OH View his original post here

Source

https://www.thepocusatlas.com/renal


Metadata