Renal/GU - Medullary Pyramids

← Back to List

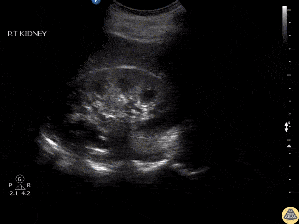
Renal/GU - Medullary Pyramids

Caption

A patient was being evaluated for flank pain. This clip shows findings of normal but prominent medullary pyramids as indicated by how they taper down toward the renal pelvis. Image courtesy of Robert Jones DO, FACEP @RJonesSonoEM Director, Emergency Ultrasound; MetroHealth Medical Center; Professor, Case Western Reserve Medical School, Cleveland, OH View his original post here

Source

https://www.thepocusatlas.com/renal


Metadata