Renal/GU - Renal Cell Carcinoma

← Back to List

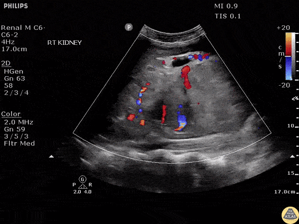
Renal/GU - Renal Cell Carcinoma

Caption

Renal parenchyma showed a dysmorphic appearance with the presence of mild ascites in this patient with flank pain and hematuria. Patient was later diagnosed with renal cell carcinoma. Image courtesy of Robert Jones DO, FACEP @RJonesSonoEM Director, Emergency Ultrasound; MetroHealth Medical Center; Professor, Case Western Reserve Medical School, Cleveland, OH View his original post here

Source

https://www.thepocusatlas.com/renal


Metadata