Renal/GU - UVJ Stone

← Back to List

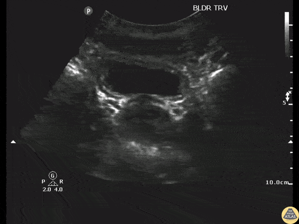
Renal/GU - UVJ Stone

Caption

Patient with flank pain was found to have a 3mm unilateral obstructing ureteric stone without hydronephrosis. Image courtesy of Robert Jones DO, FACEP @RJonesSonoEM Director, Emergency Ultrasound; MetroHealth Medical Center; Professor, Case Western Reserve Medical School, Cleveland, OH View his original post here

Source

https://www.thepocusatlas.com/renal


Metadata