Renal/GU - Bladder Hematoma

← Back to List

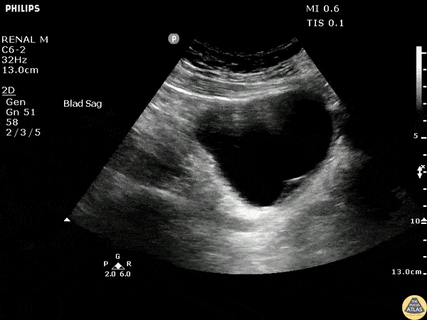
Renal/GU - Bladder Hematoma

Caption

Sagittal view of the bladder shows a post-procedural hematoma within the bladder wall obstructing one of the ureteric openings. Image courtesy of Robert Jones DO, FACEP @RJonesSonoEM Director, Emergency Ultrasound; MetroHealth Medical Center; Professor, Case Western Reserve Medical School, Cleveland, OH View his original post here

Source

https://www.thepocusatlas.com/renal


Metadata