Renal/GU - Ureterocele

← Back to List

Renal/GU - Ureterocele

Caption

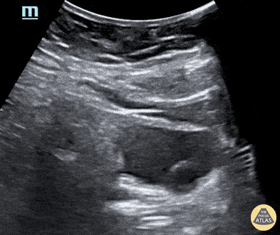
34-year-old female with a history of type 1 diabetes and recurrent urinary tract infections presenting to the emergency department with complaints of left flank pain and dysuria for two days. CT scan showed a 5.4 x 5.8mm obstructive calculus in the left lower ureter and moderate left hydronephrosis. POCUS additionally noted an anechoic, cystic structure projecting into the bladder, consistent with a ureterocele. Shown here is the transverse bladder scan image. Ibrahim Baida, MS4, @ibbaida Ian Keck, PGY-3 Dax Spencer, PGY-1 Central Michigan University College of Medicine

Source

https://www.thepocusatlas.com/renal


Metadata