Renal/GU - Perinephric Abscess

← Back to List

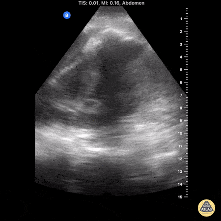
Renal/GU - Perinephric Abscess

Caption

Patient was admitted to ICU for DKA + pyelonephritis + E. Coli bacteremia. She was treated in the ICU and downgraded to the medicine floors, after tx for septic shock, but had persistent leukocytosis and intermittent LUQ px. Repeat CT showed 2.2 x 3.5 x 3.9 cm perinephric abscess, with the following images taken after identification on CT. 8cc of purulent drainage was subsequently drained via IR. Shane Solger, MD King's County/SUNY Downstate

Source

https://www.thepocusatlas.com/renal


Metadata