Renal/GU - Severe Hydronephrosis vs Cyst?

← Back to List

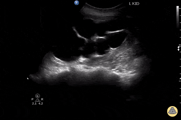
Renal/GU - Severe Hydronephrosis vs Cyst?

Caption

This is a long axis image of severe hydronephrosis that mimics a cystic kidney. Image courtesy of Robert Jones DO, FACEP @RJonesSonoEM Director, Emergency Ultrasound; MetroHealth Medical Center; Professor, Case Western Reserve Medical School, Cleveland, OH View his original post here

Source

https://www.thepocusatlas.com/renal


Metadata