Renal/GU - Adrenal Metastasis

← Back to List

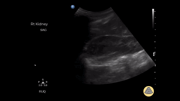
Renal/GU - Adrenal Metastasis

Caption

Patient presented with right flank pain and reported pain was similar to kidney stones. Large solid mass is observed and received a final diagnosis of adrenal metastasis after further imaging. Image courtesy of Robert Jones DO, FACEP @RJonesSonoEM Director, Emergency Ultrasound; MetroHealth Medical Center; Professor, Case Western Reserve Medical School, Cleveland, OH View his original post here

Source

https://www.thepocusatlas.com/renal


Metadata