Renal/GU - Bladder cancer

← Back to List

Renal/GU - Bladder cancer

Caption

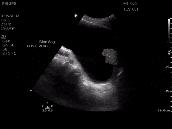
Older male presented with right flank pain and hematuria. Bladder ultrasound revealed mass in bladder with internal color flow. Subsequent CT imaging performed and patient eventually diagnosed with bladder cancer. Image courtesy of Robert Jones DO, FACEP @RJonesSonoEM Director, Emergency Ultrasound; MetroHealth Medical Center; Professor, Case Western Reserve Medical School, Cleveland, OH View his original post here

Source

https://www.thepocusatlas.com/renal


Metadata