Renal/GU - Acute Focal Nephritis

← Back to List

Renal/GU - Acute Focal Nephritis

Caption

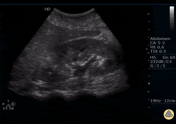
Right presented with right flank pain. A known ureterovesical junction stone is present. But also notice the focal hyperechoic area at the superior pole of the kidney. This patient was diagnosised with acute focal nephritis. This is on spectrum somewhere between acute pyelonephritis and renal abscess. Image courtesy of Robert Jones DO, FACEP @RJonesSonoEM Director, Emergency Ultrasound; MetroHealth Medical Center; Professor, Case Western Reserve Medical School, Cleveland, OH View his original post here

Source

https://www.thepocusatlas.com/renal


Metadata