Renal/GU - Emphysematous Pyelonephritis

← Back to List

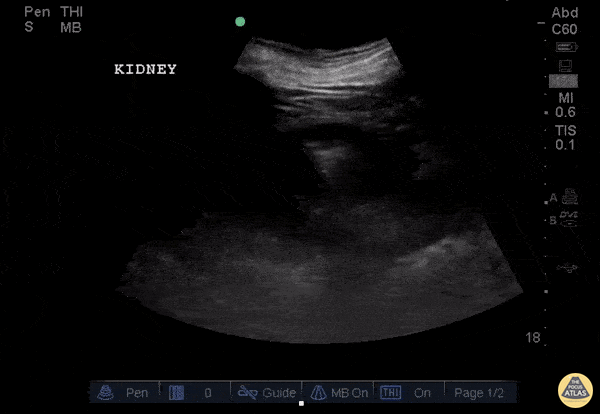
Renal/GU - Emphysematous Pyelonephritis

Caption

This clip demonstrates air within the parenchyma of the kidney consistent with emphysematous pyelonephritis. This is different than emphysematous pyelitis in which air is only seen in the collection system. Image courtesy of Robert Jones DO, FACEP @RJonesSonoEM Director, Emergency Ultrasound; MetroHealth Medical Center; Professor, Case Western Reserve Medical School, Cleveland, OH View his original post here

Source

https://www.thepocusatlas.com/renal


Metadata