Renal/GU - Medullary Nephrocalcinosis

← Back to List

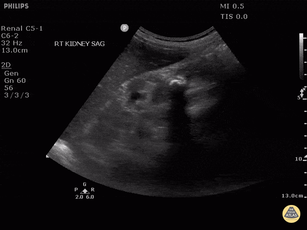
Renal/GU - Medullary Nephrocalcinosis

Caption

This clip demonstrates medullary nephrocalcinosis. Note the increased echogenicity of the renal pyramids due to calcium deposition. Image courtesy of Robert Jones DO, FACEP @RJonesSonoEM Director, Emergency Ultrasound; MetroHealth Medical Center; Professor, Case Western Reserve Medical School, Cleveland, OH View his original post here

Source

https://www.thepocusatlas.com/renal


Metadata