Renal/GU - Air Within Bladder

← Back to List

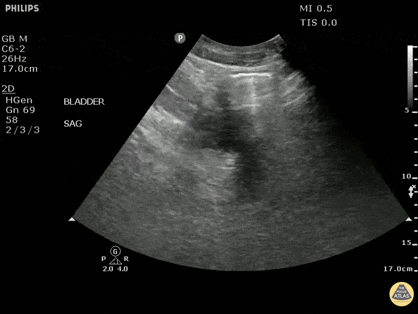
Renal/GU - Air Within Bladder

Caption

This sagittal image of the bladder demonstrates air within the bladder. This could be from emphysematous cystitis but could also be iatrogenic due to recent foley placement. Also note the presence of layered echoes in the bladder due to an infectious process. Image courtesy of Robert Jones DO, FACEP @RJonesSonoEM Director, Emergency Ultrasound; MetroHealth Medical Center; Professor, Case Western Reserve Medical School, Cleveland, OH View his original post here

Source

https://www.thepocusatlas.com/renal


Metadata