Renal/GU - Renal Abscess

← Back to List

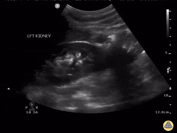
Renal/GU - Renal Abscess

Caption

This clip demonstrates a renal abscess seen along the inferior pole of the kidney. Notice the circular shape with internal echoes and a hyperechoic rim demonstrated in both long and short axis. Image courtesy of Robert Jones DO, FACEP @RJonesSonoEM Director, Emergency Ultrasound; MetroHealth Medical Center; Professor, Case Western Reserve Medical School, Cleveland, OH View his original post here

Source

https://www.thepocusatlas.com/renal


Metadata