Renal/GU - High Grade Pyelonephritis With Urothelial Thickening

← Back to List

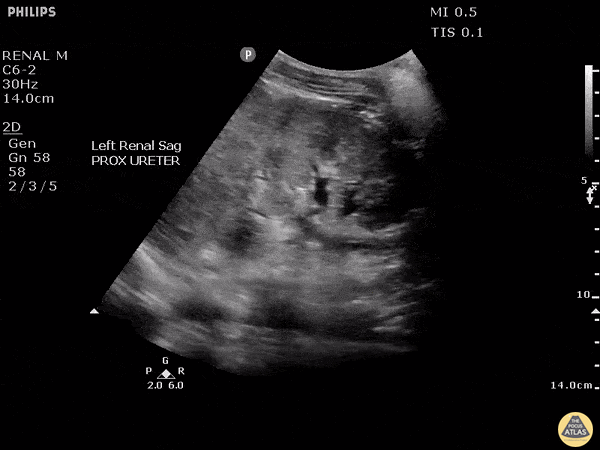
Renal/GU - High Grade Pyelonephritis With Urothelial Thickening

Caption

Although most cases of uncomplicated pyelonephritis will appear normal on ultrasound, urothelial thickening might be observed. It should be noted that this can also be observed in different clinical contexts including urolithiasis, stents and malignancy. Image courtesy of Robert Jones DO, FACEP @RJonesSonoEM Director, Emergency Ultrasound; MetroHealth Medical Center; Professor, Case Western Reserve Medical School, Cleveland, OH View his original post here

Source

https://www.thepocusatlas.com/renal


Metadata